一般歯科・小児歯科・矯正歯科・歯科口腔外科
- 緊急の際は
お電話ください - 0465-74-0781
About Clinic

武尾歯科では、全ての地域の住民の方へあらゆる歯科医療サービスを提供できる様に心がけています。
痛みや炎症の除去は勿論ですが、お口のサスティナビリティ、どの様にすれば抜かない削らないで済むかを考えています。
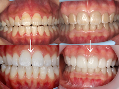
小児に於いてはなるべく低年齢からの虫歯を作らない、良い歯並びを育てる。
小さな虫歯が出来ても進行させない。治療を避けられないのであれば、最小限の切削で済ませる。
治療部位は虫歯を繰り返し易いので経過観察を怠らない。
そして何より我々が大切にするのが継続的なメインテナンスです。





| 診療時間 | 日 | 月 | 火 | 水 | 木 | 金 | 土 |
|---|---|---|---|---|---|---|---|
| 9:00~12:00 | |||||||
| 14:00~18:30 |
新患・急患随時受け付けております。
お電話にてご連絡ください。
Reservation


・明細書について
当院は療担規則に則り明細書については無償で交付いたします。
・一般名での処方について
後発医薬品があるお薬については、患者様へご説明の上、商品名ではなく一般名(有効成分の名称)で処方する場合がございます。
・医療情報の活用について
当院は質の高い診療を実施するため、オンライン資格確認や電子処方箋のデータ等から取得する情報を活用して診療をおこなっています。