医療法人社団 武尾歯科
ホーム
home
当院について
about
初めての方へ
RELIEF
4つの安心 ~安全な治療のために~
治療中辛くなったとき・・・
知りたいにこたえます
診療方針~しっかり説明します
医院理念
ドクター紹介
感染予防対策について
院内ツアー
口管強に取り組む歯科医院として
診療案内
treatment
一般歯科
歯周病治療
小児歯科
小児予防
マイナス1歳からの歯科予防
矯正歯科
口腔外科
噛み合わせ
審美歯科
ホワイトニング
入れ歯
マウスピース矯正(クリアコレクト)
予防プログラム
MFT(口腔筋機能療法)
【口腔機能低下症】
インプラント
訪問歯科診療
訪問歯科診療(口腔機能低下について)
訪問歯科診療(摂食嚥下障害について)
訪問歯科診療(認知症と訪問歯科治療)
ケアマネージャー様へ
アクセス
access
お知らせ
blog
求人情報
recruit
求人募集(歯科医師)
求人募集(歯科衛生士)
求人募集(歯科助手)
お問い合わせ
★テスト: ホワイトニング
マイナス1歳からの歯科予防
ありがとうございました
お問合せ内容確認
お問い合わせ
一般歯科・小児歯科・矯正歯科・歯科口腔外科
緊急の際は
お電話ください
0465-74-0781
24台
MENU
★テスト: ホワイトニング
マイナス1歳からの歯科予防
ありがとうございました
お問合せ内容確認
お問い合わせ
ホーム
BLOG
BLOG
NEWS
お口の健康が脳を守る?歯周病・歯の喪失と認知症リスクの深い関係
こんにちは、武尾歯科です。 暦の上では間もなく立春を迎えますが、まだまだ寒い日が続いていますね。皆様、いかがお過ごしでしょうか。 「いつまでも自分らしく、元気に過ごしたい」というのは誰もが願うことですが、近年、お口の状態が認知症の発症に深...
2026年2月1日
NEWS
【症例紹介】自宅で理想の白さを。武尾歯科が「ホームホワイトニング」を推奨する理由
「歯を白くしたいけれど、何度も通院するのは大変そう…」 「せっかく白くするなら、コストパフォーマンスも大事にしたい」 そんな風に考えている方はいらっしゃいませんか? 今回は、当院で実際にホワイトニングを行なった患者様の症例とともに、武尾歯科...
2026年1月26日
NEWS
歯周病の口臭対策|歯みがきだけでは不十分?
こんにちは、武尾歯科です。 「毎日しっかり歯みがきをしているのに、口臭が気になる…」このようなお悩みをお持ちの方はいらっしゃいませんか? 実は、歯みがきだけでは解決しにくい口臭もあります。その代表的な原因が 歯周病による口臭 です。今回は、歯...
2026年1月15日
NEWS
親知らずは放っておいても大丈夫?抜歯をオススメする6つの基準
新年、明けましておめでとうございます。武尾歯科です。 皆様、健やかに新春をお迎えのこととお慶び申し上げます。 「心機一転、今年は健康に気を配りたい」と考えていらっしゃる方も多いのではないでしょうか。お口の健康もその一つですね。 新年最初のブ...
2026年1月1日
NEWS
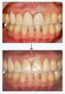
インプラント治療について
インプラントは様々な欠損の形態に応用することが出来ます。一歯の欠損から全ての歯を失った場合まで対応可能です。 上記症例は当初二本残っていた状態の悪い天然歯を抜歯して、インプラントを6本使用し固定式のブリッジを装着しました。固定式なので取り...
2025年12月25日
NEWS
【重要】年末年始の休診日のお知らせ(冬季休診)
今年も残すところあとわずかとなりました。 年末年始の診療スケジュール(冬季休診)についてご案内申し上げます。 誠に勝手ながら、当院では以下の期間を休診とさせていただきます。 ご来院の際は、お日にち・お時間のお間違いがないようご注意ください。...
2025年12月17日
NEWS
ゲップやオナラが多い…それ、「かみしめ」が原因かもしれません
こんにちは、武尾歯科です。「最近ゲップやオナラが増えた気がする」「食事のせいかな?」と感じたことはありませんか?実はその症状、歯のかみしめが関係している可能性があります。 今回は、ゲップやオナラが増える原因のひとつとされる「呑気症(どんき...
2025年12月15日
NEWS
妊娠中の歯のトラブルについて知っておきたいこと
妊娠中はホルモンバランスの変化や食生活の変化、つわりの影響などによって、お口のトラブルが起こりやすくなります。今回は、妊娠中に歯やお口のトラブルが起きたとき、どのように対処すべきかをまとめてご紹介します。 歯科治療は妊娠中でも受けられる?...
2025年12月1日
NEWS
LINE Payも使用できるようになりました
LINE Payも使用出来るようになりました。 当院はキャッシュレス決済を推進しています。 日々の治療費の決済にご利用頂き、患者様の利便性向上を図っていきます。 利用の際は受付に掲示してあるQRコードをLINEアプリで読み込み、ご自身で金額を入力してくだ...
2025年11月25日
NEWS
唾液パワーはすごい!健康を守る大切な役割とは?
皆さんは普段、唾液について意識したことはありますか?「ただ自然に出るもの」というイメージが強いかもしれませんが、実は唾液には お口と体の健康を守るための重要な役割 がたくさんあります。 今回は、そんな“唾液のパワー”についてご紹介します。 唾...
2025年11月15日
1
2
3
...
5
TEL
アクセス
トップへ
閉じる